Both Italian and German dentists strive for precision. However, Germans tend to be more pragmatic - tools should be quick, functional, and economical. Italians, on the other hand, love working with microscopes and are more detail-oriented. Treatment time becomes secondary. That’s why Italian dentists are big fans of sonic instruments. So, the path to aesthetic results differs slightly between the two countries.
What do you expect from a bone mill?
High cutting performance with maximum preservation of the bone. Only fracture-free blades can meet this requirement, enabling effective, gentle, and precise cuts. Bone mills must allow for exact preparation, which requires good control of the instrument. Patient comfort is also crucial - they can feel how smoothly an instrument runs. For tooth extractions, my favorite is the extremely fine Lindemann bur H254LE (Komet Dental).
 Figure 3: Condition after extraction and preservation of the buccal root portion |
 Figure 4: Condition after implantation
|
 Figure 5: Condition after bone augmentation.
|
Clinical Case Example
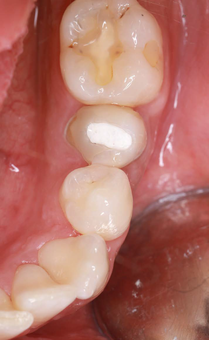
A 26-year-old female patient was referred to my practice. Tooth 35 was deemed non-restorable. A CBCT scan showed the buccal bone plate was missing. Especially in aesthetic zones, we aim to reduce tissue collapse post-extraction (up to 50%). We considered various ridge preservation techniques to minimize this risk.
Surgical Approach
 Fig. 6: Postoperative X-ray image of region 34, condition after immediate implantation. |
I chose the Socket Shield Technique, a minimally invasive method to reduce tissue shrinkage and achieve better long-term aesthetic outcomes. The technique requires healthy periodontal tissue and an intact root, both of which were present. The tooth is partially extracted, leaving the buccal root portion to support the soft tissue. This maintains the buccal periodontal attachment, allowing the tissue to behave as if the tooth were still in place. Hürzeler et al. introduced this technique in 2010 to reduce tissue shrinkage during immediate implantation.
Instruments Used
The Socket Shield Technique is not easy to perform. High-quality instruments are essential. Cuts must be fine and precise with minimal pressure. For this case, I used the H254LE 314 012 bone mill (Komet Dental) with a cross-cut design (right-right fluting), which runs smoothly and cuts efficiently. Its thin cut and controlled use in a red contra-angle handpiece make it ideal. I used it to section the tooth and shape the root remnant. Then, I refined the root with instruments 8831L, 831LEF, and ZR8801L (Komet Dental) - all of which allow fingertip control and effective cutting.
After osteotomy, I placed a 3.75 mm diameter implant, filled the gap between implant and root surface with allogenic bone substitute, inserted a provisional, and later restored with an aesthetic ceramic crown.
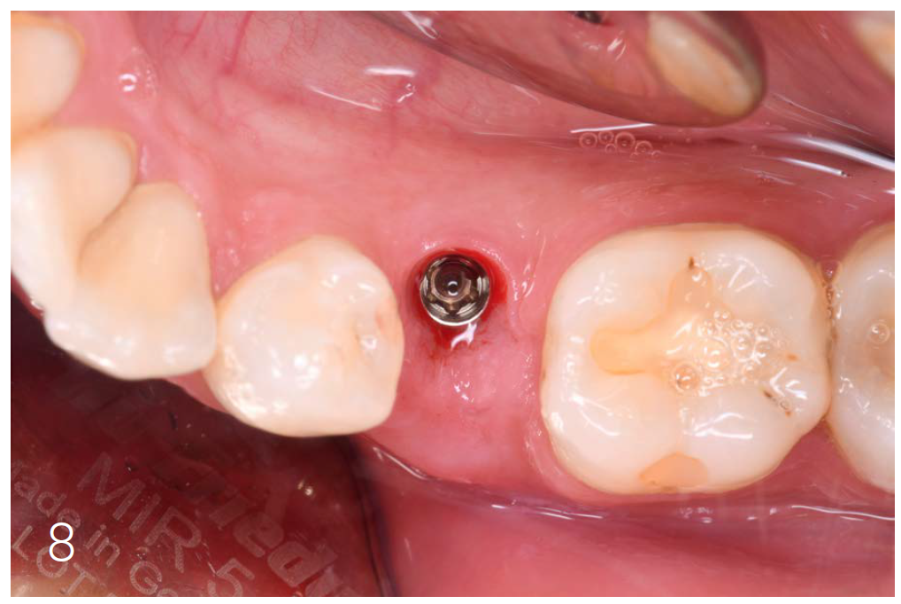
 Figures 7 and 8: Clinical situation after 6 months
|

|
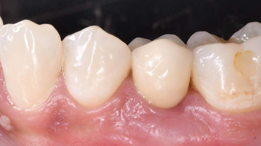
 Figure 9: Clinical image after prosthetic restoration |
 Figure 10: X-ray image after prosthetic restoration. |
Outcome
After six months, the soft tissue remained stable, and the papillae were well-formed. The case met all expectations for “pink-white aesthetics.” I was very satisfied with both the surgical and prosthetic results.
Reference: Hürzeler MB, Zuhr O, Schupbach P, Rebele SF, Emmanouilidis N, Fickl S. The socket-shield technique: A proof-of-principle report. J Clin Periodontol 2010;37:855–862.
More about Dr. Adriano Azaripour